На информационном ресурсе применяются рекомендательные технологии (информационные технологии предоставления информации на основе сбора, систематизации и анализа сведений, относящихся к предпочтениям пользователей сети "Интернет", находящихся на территории Российской Федерации)

Свежие комментарии

  • Владимир
    Риск снижается, но все равно в итоге приводит к 100 % смертности.Инфаркт миокарда ...

Спать с открытым ртом опасно для здоровья

Когда в детском саду во время сончаса нянечка грозилась заклеить всем рты, я и подумать не мог, что в 21 веке люди будут делать это с собой добровольно. Известная модель Елена Перминова пишет, что стала на ночь заклеивать рты всей семье. В результате у нее ушли утренние отеки лица, у сына прошел хронический насморк, а муж с тех пор не храпит.
Кроме того, у всех улучшился сон и по утрам нет запаха изо рта. Заклеивание рта становится столь популярным, что уже разработаны специальные тейпы для рта. Я решил тоже попробовать и заказал набор таких тейпов. А пока расскажу, почему во время сна открывается рот и как это влияет на здоровье.

Tejpirovanie_rta_1677069634.jpg

После засыпания, под воздействием тормозных нейромедиаторов расслабляется почти вся скелетная мускулатура, включая поднимающие нижнюю челюсть жевательные мышцы. Несмотря на это, отрицательное давление во рту обеспечивает присасывающий эффект, что удерживает рот в закрытом положении. Данный эффект вы можете ощутить прямо сейчас. Для этого достаточно не размыкая губ проглотить всю слюну, после чего при попытке открыть рот вы почувствуете заметное сопротивление. Аналогичное происходит во время засыпания - существующая слюна проглатывается, а образование новой значительно замедляется, в результате чего рот остается закрытым.

Однако у людей с особенностями строения челюстей или при отсутствии нескольких зубов, а также в случае избыточного выделения слюны присасывающий эффект не реализуется. Еще чаще наблюдается нарушение проходимости носовых ходов и дыхание через рот становится вынужденным. В любом случае дыхание через рот влияет на здоровье органов, систем и организма вцелом.


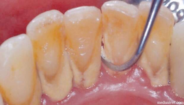
Кариес, ОРЗ и неприятный запах изо рта На местном и органном уровне дыхание ртом ведет к высыханию слюны и переохлаждению слизистой, что вызывает снижение местного иммунитета и хронизацию инфекций верхних дыхательных путей. Кроме того, в этих условиях разрастается микрофлора, которая формирует на зубах устойчивую биопленку и выделяет растворяющие зубную эмаль кислые метаболиты с формированием кариеса. Так как восстановление зубной эмали происходит за счет минералов слюны, ее дефицит и кислая среда замедляют данный процесс. В свою очередь, высвобождаемые из разрушенной эмали кальций и фосфаты минерализуют зубной налет с формированием зубного камня.


После пробуждения температура на слизистых увеличивается и скопившиеся метаболиты гнилостных бактерий активно возгоняются в газовую фазу, обуславливая неприятный запах изо рта (подробнее о проблеме неприятного запаха читайте в статье
БОЛЕЗНИ ПАХНУТ ИЗО РТА


Аллергия, бронхиальная астма и отит
На системном уровне вдыхаемый через нос воздух согревается и увлажняется, делая его оптимальным для газообмена в альвеолах. Большая часть инфекций и аллергенов задерживается в носовой слизи, которая ворсинками эвакуируется в сторону желудка, где они нейтрализуются соляной кислотой желудочного сока. Между тем, дыхание ртом способствует доставке инфекций, аллергенов и прочих загрязняющих веществ в легкие и ЛОР-органы, что создает риски развития аллергии и бронхиальной астмы и отита.


Отеки, головные боли и дневная сонливость
На организменном уровне важно учитывать роль дыхательных движений в циркуляции биологических жидкостей. Вдох через нос происходит с заметным сопротивлением, которое создает в грудной клетке отрицательное давление. Это давление является движущей силой для возврата в сердце венозной крови и лимфатической жидкости из остального организма и спинномозговой жидкости из головного и спинного мозга. В тоже время, вдох через рот происходит практически без сопротивления потоку воздуха, поэтому циркуляция данных жидкостей замедляется, увеличивается риск развития отеков.

Храп
Общепринято объяснять храп слишком низким тонусом мышц глотки во время сна, в результате чего мягкие ткани, такие как мягкое нёбо и язычок, начинают вибрировать при прохождении воздуха. Но я еще раз напоминаю, что тонус мышц во время сна снижается у всех, но при реализации присасывающего эффекта мягкие ткани нёба надежно фиксируются и не вибрируют. А храп наблюдается у тех, кто способен спать с открытом ртом на спине под грохот собственного храпа. Такое случается иногда и у меня, но мой сон настолько чуткий, что при первом же всхрапе я просыпаюсь сам и поворачиваюсь на бок, поэтому никто не знает за мной этого "греха". Тейпирование рта в исследовании уменьшало индекс храпа и апноэ на 47%.
Безымянный.jpg


Как распознать проблему у себя?
Чаще всего на сон с открытым ртом указывает сильное пересыхание слизистых и неприятный запах по утрам. Если же открывание рта вызвано избыточным слюноотделением, то на постельном белье и коже лица будут видны следы от слюны. Жалобы сожителей на храп практически наверняка свидетельствуют о проблеме.

Учитывая вышесказанное, залетание мухи в открытый рот спящему человеку - это пустяки. Проблема открытого рта во сне гораздо глобальнее и ее нужно решать у отоларинголога или стоматолога. А пока нужно пробовать меры, предупреждающие развитие вторичных патологий и улучшающие качество жизни здесь и сейчас. Важно, что тейпирование рта простое и безопасное решение при условии свободного дыхания через нос. В следующий раз подробнее расскажу о способах восстановления носового дыхания на собственном примере. Чтобы не пропустить - подписывайтесь в ЖЖ или на
канал в Телеграм.
Ссылка на первоисточник
наверх