Американские врачи в журнале Центров по контролю и профилактике заболеваний США Emerging Infectious Diseases описали клинический случай 58-летней женщины, страдающей болезнью Крейтцфельдта—Якоба. При этом заражение прионом случилось 48 лет назад – это самый долгий известный латентный период для ее формы прионного заболевания и один из самых долгих для прионных болезней вообще. О клиническом случае пишет портал Нейроновости, которым руководит автор блога.

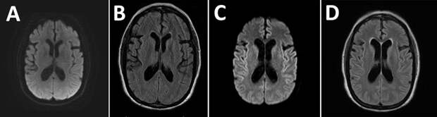
МРТ пациентки: А,B — в начале появления симптомов, C,D — через два месяца
На долю болезни Крейтцфельдта-Якоба приходится примерно 85% всех случаев прионных заболеваний, и все они развиваются довольно долго, неминуемо приводя к смерти. Недавно в Калифорнийском университете в Ирвайне обследовали 58-летнюю пациентку, которая жаловалась, что две недели страдает от тремора и нарушения походки. Анамнез у женщины включал депрессию, хирургическую стабилизацию и гипоталамо-гипофизарную недостаточность. Чтобы противостоять последнему заболеванию, с семи лет пациентка в течение почти девяти лет получала человеческий гормон роста. Первоначально женщине поставили диагноз «функциональное неврологическое расстройство». Поскольку МРТ головного и спинного мозга и биохимические анализы крови не показали никаких отклонений, женщине только посоветовали заниматься лечебной физкультурой и обратиться к психологу.
Однако в последующие четыре недели состояние женщины ухудшилось, нарушения походки и тремор рук усугубились, появились новые симптомы вроде замедленности речи и недержания мочи.
В связи с ухудшением состояния пациентка снова попала в больницу. Дело приняло такой серьезный поворот, что уже в больнице ее сознание и дыхание стали угасать, в связи с чем была проведена интубация. И вот через два месяца после первого МРТ на повторном были найдены нарушения, как и в анализах крови, но главное – у женщины был выявлен повышенный уровень тау-белка и белка 14-3-3, другие анализы также выявили наличие прионов. Как пациентка ранее просила, интубация была прервана, и она умерла.Посмертно с помощью биохимических и патологоанатомических исследований женщине поставили диагноз — болезнь Крейтцфельдта-Якоба. Более того, у женщины была найдена форма гена PRNP, кодирующего прионный белок, которая ассоциирована с длительным латентным периодом заболевания. Источник приона был определен однозначно – гормон роста (более 250 человек в мире заразились прионом именно через человеческий гормон роста). Специфические оценки показали, что заражение женщины прионами произошло примерно 48 лет назад.
Более длинный латентный период для прионного заболевания известен только в случае куру – при этой болезни латентный период может длиться 50-60 лет.
Текст: Елизавета Минина (для портала Нейроновости)
Cadaveric human growth hormone–associated Creutzfeldt-Jakob disease with long latency period, United States by Ribeiro AS, et al. Emerg Infect Dis. 2025 Jun
DOI: 10.3201/eid3106.241519
Свежие комментарии